Порятунок дитячого життя — це завжди іспит на професійність, стійкість та злагодженість медичної команди. Нещодавно фахівці Вінницької обласної дитячої лікарні успішно пройшли таку перевірку, провівши серію надскладних операцій. Упродовж останнього місяця лікарі закладу врятували двох пацієнтів із небезпечними новоутвореннями у грудній клітці.
Про це повідомляє My Vin, посилаючись на Фейсбук-сторінку дитячої лікарні.
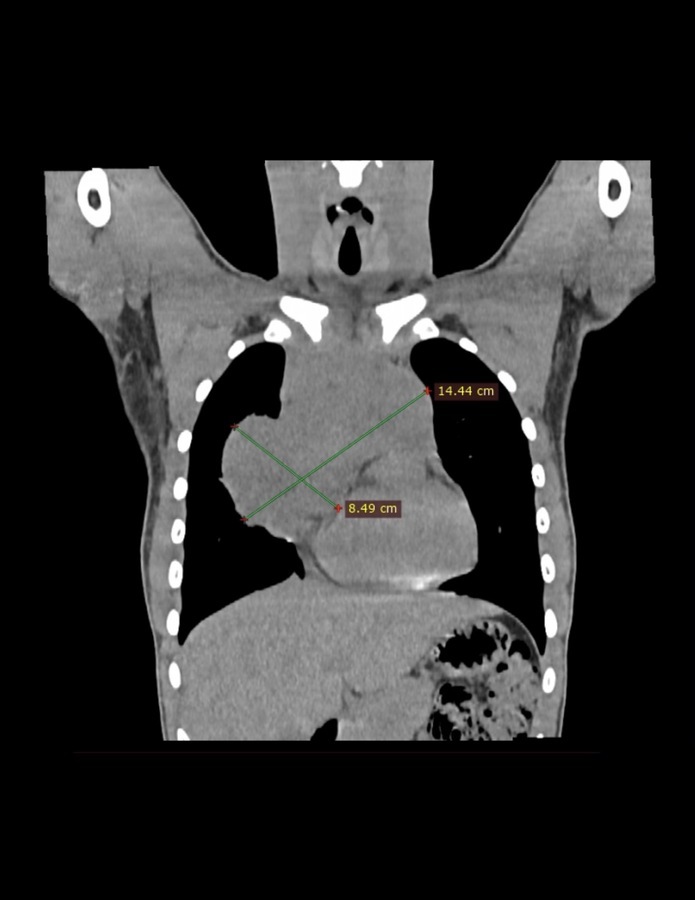
Пухлини середостіння у дітей є одними з найпідступніших патологій. Розташовуючись поруч із серцем, великими судинами та дихальними шляхами, вони часто спричиняють задишку, постійний кашель та інші серйозні симптоми. Значна частина таких пухлин має злоякісний характер, що потребує негайного та комплексного втручання.

Ці два випадки були особливо складними через великий об’єм новоутворень. Хірургічне втручання вимагало не лише ювелірної точності від операційної бригади, а й детального планування кожного кроку — від першого розрізу до анестезіологічного супроводу.

Проте операція — це лише частина шляху до одужання. Після видалення пухлин діти тривалий час перебували під наглядом реаніматологів, які забезпечували підтримку дихання за допомогою апаратів штучної вентиляції легень та стабілізували стан маленьких пацієнтів.
Коли хірургічний етап залишився позаду, до справи взялися онкогематологи. Подальше лікування пацієнтів триває за сучасними міжнародними протоколами, що включають необхідну терапію для остаточної перемоги над хворобою.

Успіх цих операцій став можливим завдяки мультидисциплінарному підходу. Це означає, що над одужанням кожної дитини працює команда фахівців: діагности, лаборанти, хірурги, анестезіологи, онкологи, а також медичні сестри та молодший персонал. Коли кожен ланцюжок цієї системи працює злагоджено, навіть найскладніші діагнози відступають, даруючи дітям шанс на довге та здорове життя.
Читайте також:
Діти з Вінниччини можуть безкоштовно відпочити в «Артеку»: хто може отримати путівку
Ветерани з Вінниці вибороли десятки медалей на змаганнях «Звитяга Нескорених»